Иммунитет человека с каждым годом все более уязвим для многих заболеваний. Наряду с иными болезнями, аллергический дерматит у взрослых и детей приобрел более агрессивную форму. Он уже не считается косметическим дефектом, а относится к патологическим процессам.

Как выглядит аллергический дерматит
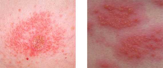
Чтобы вовремя начать курс лечения и не допустить возникновения токсидермии, как выглядит аллергический дерматит (фото 2) нужно знать обязательно. Клиническая картина заболевания находится в зависимости от раздражителя, его характерной особенности, силы воздействия. Токсико-аллергический дерматит сопровождается специфической симптоматикой: раздраженное шелушение и, в некоторых случаях, возникновение волдырей.

Для заболевания характерны отечность, краснота кожи. Довольно часто проявляются узелки, сыпь, которая напоминает атопический дерматит, но имеет менее выраженный зуд и большее жжение. Аллергический дерматит у взрослых после затяжного течения теряет островоспалительную реакцию и характеризуется редким проявлением гиперкератоза или умеренной инфильтрацией.

Аллергический дерматит у взрослых
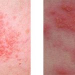
Немаловажную роль в том, как развивается аллергический дерматит у взрослых (фото 3), играет особенность самого организма. После контакта с любым из раздражителей симптомы аллергического дерматита у взрослых проявляются спустя пару недель. Единственный случай, когда болезнь развивается стремительно, можно сказать агрессивно, возникает при контакте с химическими веществами.
При всех остальных случаях заболевание имеет небольшое сходство с клинической картиной острой экземы. Поначалу наблюдается появление красных пятен; кожа утолщается, трескается. Далее образуются пузырьки, микроязвочки. Хотя заболевание локализовано в местах воздействия, повторную симптоматику можно ожидать в ином месте. Если впервые проявился дерматит на руках, то вторичное его расположение будет в любой точке тела.
Лечение аллергического дерматита у взрослых предусматривает долгую комплексную коррекцию. Имея легкую форму, можно лечить амбулаторно. Лечение тяжелых форм у взрослых проводится только стационарно, нередко даже в реанимационном отделении.

Как выглядит аллергический дерматит у детей
Иммунная система детей несовершенна и не может полноценно противостоять многим аллергенам, поэтому аллергический дерматит у детей (фото 4) возникает чаще. Заболевание обычно носит затяжной характер, за это время высыпания могут смениться несколько раз. Дерматит у деток может впервые проявиться на фоне пищевых раздражителей и называется диатезом. К самым первым симптомам относят зуд, который всегда предшествует высыпаниям и покраснения.
Заметив эти симптомы аллергического дерматита у детей, родители должны немедленно показать их доктору. Прогрессирование заболевания может спровоцировать себорейный дерматит на голове, который принесет ребенку еще более сильные страдания.

Аллергический дерматит у грудничков
Молодые кормящие мамы вполне могут спровоцировать аллергический дерматит у грудничков (фото 5), если не придерживаются диеты. С возрастом пищевая аллергия отодвигается на задний план, уступая место другим аллергенам: грибам, пыльце, спорам. Аллергический детский дерматит часто возникает после прививок, приема лекарств, витаминов.
Возникает заболевание в основном у детей с наследственной предрасположенностью. Именно у них часто появляется пеленочный дерматит, расположенный больше на нижней части тела. Болезнь беспокоит ребенка до возраста 2-х лет. Аллергический дерматит у грудничков располагается на лице, в естественных складках и на сгибах. В пораженных местах кожа пересушенная или наоборот, постоянно мокрая.

Аллергический дерматит на ногах
Причин, провоцирующих болезнь, очень много, и делятся они по типу воздействия на тело. Аллергический дерматит на ногах (фото 6) относят к наиболее распространенным неконтагиозным заболеваниям. На ногах дерматит может появиться и как признак заболевания некоторых органов.
В таких случаях недуг проявляется как токсидермия. Экзогенные причины провоцируют аллергический контактный дерматит, вызывая заметные аллергические проявления.

Аллергический дерматит на голове
Помимо косметических дефектов, аллергический дерматит на голове (фото 7) вызывает довольно сильное жжение и зуд. В некоторых случаях это мешает человеку вести полноценное существование. Дерматозная сыпь сопровождается жаром, болью, потерей волос.
Если степень повреждения кожи перейдет в запущенную стадию, то аллергический дерматит на лице оставит после себя совсем непривлекательные шрамы.
Все фотографии аллергического дерматита
Плейлист видео про дерматит (выбор видео в правом верхнем углу)







(голосов: 20, в среднем: 4,50 из 5)
У меня аллергический контактный дерматит, я уже не знаю кому обратиться я уже устала...